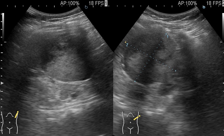
脾腫瘍

2日前よりクシャミやあくびをすると左季肋部に痛みが出て来院された27歳男性。

99%肋間神経痛だろうと思い、念のため行ったエコー検査で脾臓に73mmの球形腫瘍を認めたため外科病院を紹介した

手術の結果は脾過誤腫(良性)であった。珍しいケースである。